Новосибирский студент пришел на медосмотр, а уехал на операцию
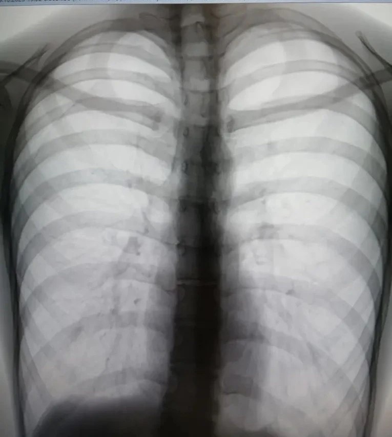
На плановом осмотре в поликлинике № 16 рентгенолог Елена Чувашова заподозрила пневмоторакс (воздух в легком) во время флюорографии. Ситуация критическая — легкое могло сжаться в любой момент.
Пациента экстренно осмотрели, вызвали скорую и за полчаса доставили в областную больницу. Уже вечером того же дня торакальный хирург провел операцию.
Всего 3 часа от снимка до спасения!








































