"Ему повсюду отказывали". Новосибирские хирурги удалили пациенту гигантскую опухоль головного мозга
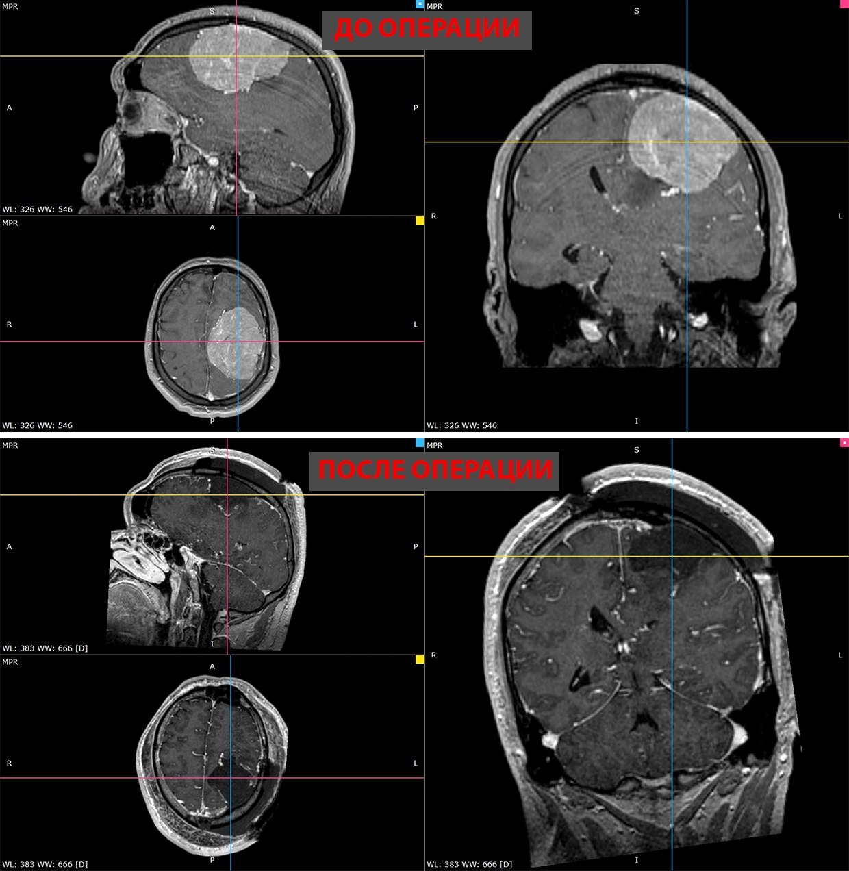
В ноябрепрошлого года у 35-летнего жителя Тюмени начала слабеть правая рука. Вскоре к этому добавились проблемы с речью: формулировать мысли стало трудно. МРТ показало причину — в левом полушарии мозга обнаружили гигантскую менингиому диаметром более 8 см. Опухоль сдавливала речевые центры и двигательные зоны, отвечающие за правую сторону тела. К новому году рука практически отказала, а ходьба стала серьезным испытанием. Однако, когда пациент готовился к плановой операции, диагностика выявила еще одну, смертельную угрозу: тромбоэмболию легочной артерии. Оторвавшийся тромб из вены ноги достиг легких. В такой ситуации риск повторного тромбоза или смертельного кровоизлияния во время операции был запредельным, и ведущие клиники одна за другой стали отказывать мужчине в хирургическом вмешательстве.
Состояние пациента стремительно ухудшалось: на фоне нарастающего паралича начались тяжелые эпилептические приступы. Несмотря на мощную терапию, приступы случались ежедневно, и каждый из них грозил отеком мозга или комой. Ожидать несколько месяцев, пока растворятся тромбы, было невозможно — неврологические симптомы не оставляли шанса. В безвыходной ситуации согласие принять сложнейшего пациента дал центр имени Е. Н. Мешалкина в Новосибирске. Консилиум кардиологов, кардиохирургов и нейрохирургов принял решение: медлить больше нельзя.
В день поступления пациента прооперировали. В течение пяти часов нейрохирурги работали над удалением гигантского новообразования. Врачам удалось сделать невозможное: опухоль была полностью иссечена, при этом удалось избежать повреждения жизненно важных центров и обойтись без кровоизлияний. Результат превзошел ожидания. Уже на следующее утро после вмешательства к пациенту вернулась подвижность в руке. Спустя две недели мужчина самостоятельно ходит, его речь полностью восстановилась, а мучительные эпилептические приступы остались в прошлом.









































